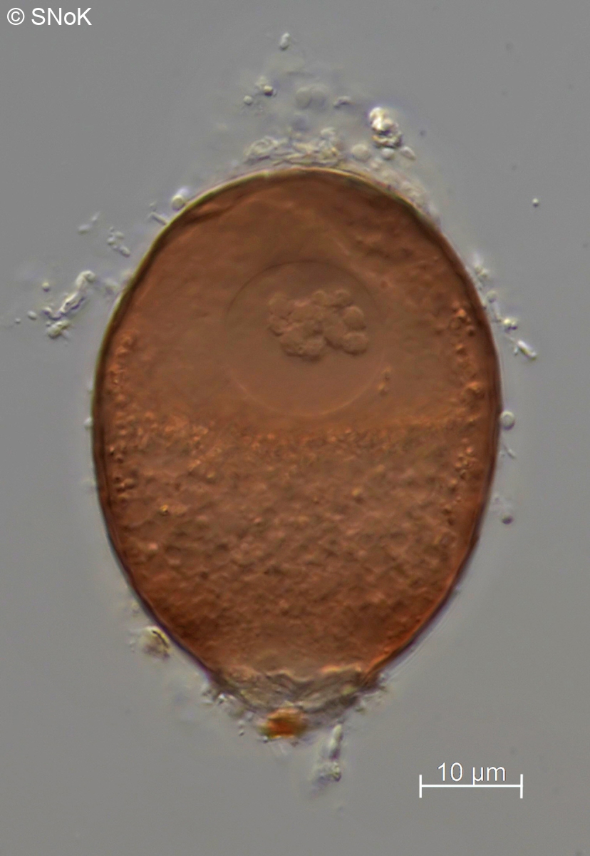
Schalenamöben

Bei den Schalenamöben findet man in erster Line nur die leeren Schalen, in denen die lebende Amöbe nicht mehr enthalten ist. Das liegt daran, das beim Tod der Amöbe, durch ungünstige oder andere Umstände, die feste Schale in der Regel erhalten bleibt.

Zurück